Orthodontie
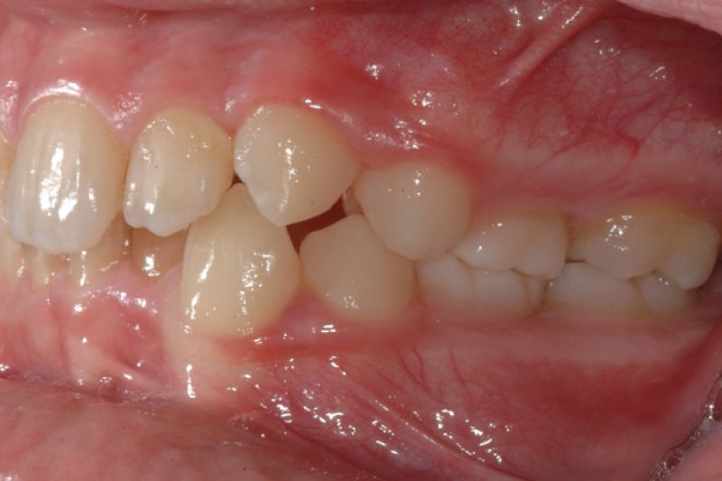
Cas 1
Avant
Après
Ce patient a été traité avec un appareillage multibague fixe
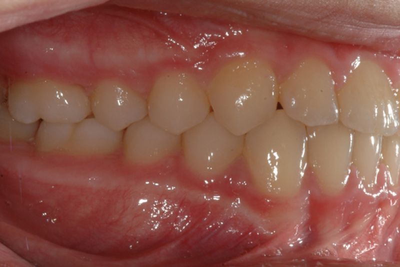
Cas 2
Avant
Après
Ce patient a été traité avec un appareil de Herbst (qui permet l'avancement de la mâchoire inférieure) et un appareillage multibague fixe
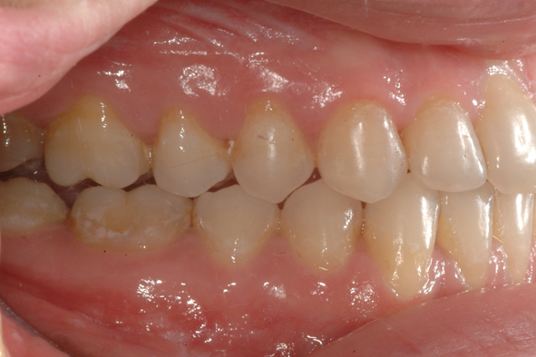
Cas 3
Avant
Après
Ce patient a été traité avec un appareillage multibague fixe et une opération chirugicale d'avancement de la mâchoire supérieure

















